
19.1 恶性黑色素瘤
现阶段研究发现,可产生色素的黑色素细胞的恶性转化会促进黑色素瘤在不同组织中的发展,恶化形成不同的肿瘤亚型(如皮肤、粘膜、葡萄膜黑色素瘤),每一个亚型都有其特定的基因改变。皮肤黑色素瘤常见于西方,约每10万人中就有15-25人确诊该疾病,患者确诊时的中位年龄为57岁,紫外线是诱发该疾病的主要致病因素,与西方不同的是,在亚洲黏膜黑色素瘤更常见。皮肤黑色素瘤是年轻人最常见的癌症之一,其早期转移的特性导致75%与皮肤癌相关的死亡都与其有关。
在过去的十年中,我们在阐明与黑色素瘤发展和进程有关的基因改变方面取得了巨大的进展。其中应注意的是,黑色素瘤的体细胞突变率是所有人类恶性肿瘤中最高的(每兆DNA碱基>10个突变),其突变具有典型的紫外线诱导突变的特征,这与紫外线辐射是其致病因素这一观点相一致。但是,黑色素瘤也会发生在非日光照射的皮肤或黏膜中,而这与其对紫外线具有绝对依赖这一观点相违背。虽然肿瘤中绝大多数突变为“乘客突变”,与疾病的发展和进展无关。但是丝裂原活化蛋白激酶(MAPK)级联(NRAS-BRAF-MEK-ERK)中的突变是癌症发生、发展的主要驱动因素。在皮肤黑色素瘤中,发生NRAS(NRASQ61L或 NRASQ61R)突变的患者约占15%-20%,而发生BRAF(BRAFV600E)突变的患者占 50%。这些相互排斥的 NRAS和BRAF突变介导了MAPK级联反应的结构性激活,抑制黑色素瘤细胞凋亡及细胞周期停滞。虽然结构性MAPK级联的激活被认为是促进黑色素瘤发展的第一步,但其还需要其他通路的额外突变或其他影响因素共同作用,才能实现黑色素瘤的完全恶性转化,如PTEN缺失导致PI3K通路激活。
直到最近,远端转移性黑色素瘤(IV期)患者的中位生存期仍然仅为6-12个月。不过,归因于以下两种不同类型药物的临床应用,患者的无进展生存期(PFS)和总生存期(OS)显著延长:(1)靶向MAPK通路中BRAF(V600E)(如维莫非尼、达拉非尼)和MEK(如曲美替尼或考比替尼)的抑制剂和(2)增强抗肿瘤T细胞反应的抗体(抗PD-1和抗CTLA-4)。在基于抗体的免疫疗法中,其通常被称为免疫检查点阻断疗法。抗PD-1和基于抗PD-1的联合疗法获得了目前最高、最持久肿瘤应答率。为了深入了解黑色素瘤的潜在机制,我们首先需要了解一些关于适应性细胞毒性CD8+T细胞识别黑色素瘤细胞的背景知识。这些细胞毒性T细胞在黑色素瘤的治疗中会被重新激活并发挥临床效应。
19.2 CD8+T细胞对黑色素瘤的反应
黑色素瘤是一种具有高度免疫原性的肿瘤。许多患者在治疗前都会自发的产生适应性CD8+T细胞抗肿瘤反应。这些T细胞通过它们的受体(TCR)识别黑色素瘤细胞,TCR能与特定的细胞表面复合物结合,这些复合物是由MHC-I类分子及其提呈的多肽(抗原表位)组成。这些多肽来源于肿瘤细胞中内源性蛋白质(抗原)的降解,降解后的多肽被装载到MHC-I类分子上,被运输和呈递到细胞表面。人体所有有核细胞上都有MHC-I类抗原肽复合物的表达,但与正常细胞相比,肿瘤细胞在抗原库中表现出的质和量的差异,使得CD8+T细胞能够识别它们为“改变的个体”。CD8+T细胞与特定抗原肽-HLA I类复合物结合后,释放细胞溶解颗粒到靶细胞上,从而启动细胞凋亡,并分泌干扰素γ,诱导周围细胞周期停滞和/或死亡。
自1991年以来,科学家已经在黑色素瘤中发现了许多不同类别的肿瘤抗原,在本书的另一章中对此有更详细的描述。新抗原的种类具有最高的治疗价值:首先,新抗原是肿瘤特异性的真正表现,由于它们来源于已表达的体细胞的肿瘤突变,在诱导抗肿瘤CD8+T细胞反应过程中可将正常组织被破坏的风险降至最低。其次,新抗原特异性CD8+T细胞对其同源抗原-HLA I类复合物表达高亲和力的TCR,并已被证明能发挥有效的抗肿瘤效应。而黑色素瘤表现出的高突变负荷可以促进新抗原的产生。事实上,并不是所有的体细胞肿瘤突变都会被表达,只有少数表达的突变能通过细胞内降解机制最终成为细胞表面的新抗原肽表位。有趣的是,最近的研究表明黑色素瘤的突变负荷与机体对免疫检查点阻断剂疗法的反应之间存在相关性。
研究发现黑色素瘤患者的外周血和转移灶中存在针对不同肿瘤抗原(包括新抗原)的CD8+T细胞。但是即使在这种多种肿瘤反应性T细胞存在的情况下,疾病也会继续发生进展。现在已经确定的是,黑色素瘤的进展是由于多种机制导致T细胞功能减弱造成的。其中,肿瘤细胞的直接接触对T细胞活性的抑制似乎发挥了重要作用。
19.3 T细胞激活的检查点控制
在表面TCR与携带黑色素瘤抗原肽的MHC-I复合物结合后,黑色素瘤特异性CD8+T细胞被激活,随后释放干扰素γ,诱导周围黑色素瘤细胞表达PD-L1(也称为B7-H1和CD274),如Fig. 19.1所示。PD-L1与CD8+T细胞上的抑制性共受体PD-1结合,从而削弱T细胞的效应器功能(细胞溶解颗粒和细胞因子释放),抑制其增殖。此外,PD-1还能与PD-L2结合,但是在黑色素瘤细胞上检测不到这种结合。正常情况下,T细胞中的PD-1信号对机体维持自身免疫耐受具有重要意义,PD-1基因敲除小鼠出现自发的自身免疫反应证明了这一点。因此,PD-1是抑制CD8+T细胞功能的重要检查点,黑色素瘤细胞通过表达PD-L1,获得了直接降低T细胞活性的能力(Fig. 19.2)。而在从肿瘤组织和黑色素瘤患者外周血中分离出的新抗原特异性CD8+T细胞上,也发现了PD-1的表达,这为开发阻断PD-1和PD-L1之间相互作用的治疗策略提供了理论基础(Fig. 19.2)。

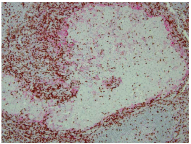
Fig. 19.1 CD8+T细胞旁边的黑色素瘤细胞表达PD-L1。通过免疫组化染色标记黑色素瘤淋巴结病变中的CD8+T细胞(棕色)和黑色素瘤细胞(PD-L1, 红色)。

Fig. 19.2 黑色素瘤细胞依赖PD-1抑制T细胞活性
(A)肿瘤浸润性T细胞通过其T细胞受体(TCR)识别黑色素瘤细胞,随后TCR与特定的HLA I类抗原表面复合体结合,活化T细胞。随后被激活的T细胞释放细胞溶解颗粒并分泌干扰素γ; (B)干扰素γ诱导黑色素瘤细胞表达PD-L1,并与抑制性受体PD-1结合,从而抑制T细胞的激活; (C)抗体阻断PD-1与其配体PD-L1之间的相互作用,使T细胞从抑制信号中释放出来,恢复其活性。
影响T细胞活化的另一个关键检查点是CTLA-4,与PD-L1相反,它在黑色素瘤细胞上不表达。其配体是CD80和CD86,均在抗原呈递细胞上表达,如树突状细胞(DC)。树突状细胞能够在外周与肿瘤抗原结合,并迁移到引流淋巴结,在那里激活T细胞。TCR特异性识别肿瘤MHC复合物后,T细胞表面开始表达CTLA-4,CTLA-4与pAPC(专职抗原呈递细胞)上的CD80/CD86结合,从而抑制T细胞的激活。CTLA-4和PD-1一样,是机体维持自身免疫耐受的关键因素之一,缺乏CTLA-4的小鼠表现出大量的淋巴增殖和早期死亡现象。虽然CTLA-4仅在包括调节性T细胞(Treg)在内的各种T细胞上表达,但PD-1除了在T细胞上表达外,也在自然杀伤(NK)细胞和B细胞上有表达,所以除了T细胞,这些细胞的活性也很可能受到针对免疫检查点的抗体的影响。虽然在这篇综述中,我们并未详细讨论复杂的生物学理论,但应该记住的是—PD-1和CTLA-4可以被认为是限制肿瘤反应性CD8+T细胞效应功能的免疫刹车(检查点)。针对这些刹车(检查点)使用治疗性抗体,阻断受体-配体的相互作用,可以在黑色素瘤患者中诱导显著和持久的临床反应,正如下文所述。
19.4 检查点阻断疗法
在2011年之前,患有晚期转移疾病的黑色素瘤患者一般接受的是化疗药物(达卡巴嗪、替莫唑胺、福莫司汀)的标准化姑息治疗。而免疫检查点阻断疗法仍缺乏证明相关药物对患者总体生存率有影响的大型随机试验。2011年,基于两项随机试验,首个针对CTLA-4的免疫检查点阻断抗体(伊匹单抗,全人IgG1抗体)获得美国食品和药物管理局(FDA)和欧洲药品管理局(EMA)的批准,用于治疗晚期疾病患者。一项试验比较了伊匹单抗和基于多肽的疫苗在既往无法切除的晚期黑色素瘤患者中的作用。而在另一项试验中,患者接受达卡巴嗪联合伊匹单抗或达卡巴嗪联合安慰剂治疗。这两项研究都表明,接受伊匹单抗治疗的患者病情有显著改善,治疗的有效率在10%至15%之间。由于CTLA-4在维持自身免疫耐受方面的作用,它的全身性阻断也具有一定毒副作用。在某些情况下,接受伊匹单抗单一治疗的患者中,10%-15%的患者会出现定义为3-4级的危及生命的不良事件(AE)。最常见的3-4级AE是结肠炎、皮疹和内分泌疾病。使用伊匹单抗进行全面免疫检查点阻断是第一种运用于黑色素瘤治疗的免疫疗法,有文献证明,在一组使用该疗法的黑色素瘤患者中,患者的总体疗效较其他疗法有所改善。该疗法是利用免疫疗法治疗黑色素瘤的一个里程碑(关于基于CTLA-4的治疗的详细信息在本书的另一章中给出)。接下来将要介绍的是基于针对PD-1免疫检查点的抗体的成功治疗案例。
19.5 经批准的抗PD-1抗体
在伊匹单抗之后,两种针对检查点PD-1的抗体被批准用于治疗不可切除和转移性黑色素瘤。FDA和EMA分别批准了纳武单抗和派姆单抗,它们是一种完全人源化的IgG4抗体。基于纳武单抗和派姆单抗的治疗展示出了更高的持久应答率,而与伊匹单抗治疗相比,AE发生的概率要低得多。下面,我们列出了与抗体批准相关的一些临床试验结果(Table. 19.1)。

Table 19.1 与批准PD-1检查点阻断疗法有关的三期临床试验。
19.6 Nivolumab(纳武单抗)
2014年12月,FDA 批准纳武单抗用于晚期黑色素瘤的治疗。2015年6月,EMA 基于以下两项研究批准纳武单抗可用于晚期黑色素瘤的治疗: CheckMate 066(随机双盲3期试验,包括418名黑色素瘤患者)和 CheckMate 037(开放标签3期试验,包括405名黑色素瘤患者)(Table.19.1)。在这两项研究中,参试人员纳武单抗的每两周服用量为3mg/kg(体重)。
在CheckMate 066试验中,未经治疗的患者接受了纳武单抗或达卡巴嗪治疗。接受纳武单抗治疗的患者的1年总存活率(OSR)为72.9%,而接受达卡巴嗪治疗的患者的1年总存活率为42.1%。纳武单抗的中位无进展生存期(PFS)为5.1个月,达卡巴嗪的为2.2个月。纳武单抗的总体应答率(ORR)为40.0%,达卡巴嗪为13.9%。此外纳武单抗治疗的患者的完全缓解率为7.6%。
在CheckMate 037试验中,患者接受了纳武单抗或化疗(达卡巴嗪或卡铂联合紫杉醇[研究人员选择])治疗。参与本研究的患者接受了纳武单抗或BRAF抑制剂的预处理(针对BRAF(V600E)突变黑色素瘤)。纳武单抗和化疗组的ORR分别为31.7%和10.6%。值得注意的是,这项试验同时也表明,接受伊匹单抗预治疗的患者仍然可以是纳武单抗应答者。这一结果推动了FDA在2014年12月对纳武单抗运用于临床的批准。
总而言之,患者对于纳武单抗的应答率表现在30%到40%之间,显著高于已报道的伊匹单抗治疗的应答率,而且纳武单抗的耐受性相较伊匹单抗也要好得多。当然,其也具有副作用,因为PD-1和CTLA-4一样,也参与维持自身免疫耐受,但其毒副作用发生概率低。在CheckMate 066和CheckMate 037研究中,纳武单抗治疗组最常见的副作用是疲劳、瘙痒和恶心。出现3级或4级药物相关不良事件共11例,分别占7%(CheckMate066)和 5%(CheckMate037)。
— THE END —
▉ 强烈推荐
▉ OncoLab实验室网站
本公众号上的往期文章同步发布至对应网站OncoLab实验室。
网站自带检索功能,可以根据关键词进行检索,并且可以根据日期及内容分类进行查看 ,大家可以收藏方便在电脑上查看。
网址是:oncolab.cn
▉ OncoLab学术导航
此外,梳理了一下这几年攒的收藏夹,做了一个导航网页,包含常用网站、文献阅读、试剂订购、基金相关、实用工具、常用数据库等分类内容,并且整合了百度、谷歌、必应三大搜索引擎到检索工具中,欢迎收藏或设置为主页使用~
网址是:dh.oncolab.cn
▉ OncoLab知识星球
OncoLab知识星球也已开通,在学习本公众号内容的过程中如果有什么需要讨论交流的地方可以在星球发表留言,也可以分享一下自己的学习心得体会,其他小伙伴看到了可以积极留言回复,我也会积极参与其中,并时常放一些学习资料在上面,希望大家能够在积极交流互帮互助中共同进步~
该星球用于OncoLab公众号读者交流学习使用,永久免费。

关注本号~

加入读者交流群~
(添加请备注单位姓名)

加入知识星球~
本篇文章来源于微信公众号: OncoLab
微信扫一扫打赏
支付宝扫一扫打赏